PRESENTACIÓN DE CASO

 

 

Hemorragia intracraneal en el recién nacido a término

 

Intracranial hemorrhage in a term infant

 

 

Omar León Vara Cuesta1, Analiz  de Paula Paredes2, María H Simón Cabrera3, Miriam Musa Rodríguez4, Jesús Juan Rodríguez5

 

 

1 Especialista de Primer Grado en Neonatología. Hospital Gineco-Obstétrico "Justo Legón Padilla". Pinar del Río.
2 Especialista de Primer Grado en Radiología. Hospital Gineco-Obstétrico "Justo Legón Padilla". Pinar del Río.
3 Especialista de Primer Grado en Radiología. Hospital Gineco-Obstétrico "Justo Legón Padilla". Pinar del Río.
4 Especialista de Primer Grado en Radiología. Hospital Gineco-Obstétrico "Justo Legón Padilla". Pinar del Río.
5 Especialista de Segundo Grado en Pediatría y Genética. Hospital Gineco-Obstétrico "Justo Legón Padilla". Pinar del Río.

 

 


RESUMEN

Los accidentes vasculares hemorrágicos cerebrales en el recién nacido a término constituyen un aspecto importante  de la morbimortalidad en la etapa neonatal. Se presenta el caso de un recién nacido a término, normopeso, varón, nacido de parto distócico en presentación pelviana (distocia de cabeza última), con una asfixia severa al nacer, que requirió de medidas de reanimación y de asistencia ventilatoria mecánica, constatando las manifestaciones clínicas de un accidente vascular hemorrágico, que se corroboró con los estudios imagenológicos realizados. Es egresado al mes de edad, sin compromiso de sus funciones vitales,  y seguido por una consulta multidisciplinaria. A los tres meses de edad muestra evidencias de secuelas determinadas por retraso en su desarrollo psico-motor y trastornos  neurosensoriales. La rehabilitación se está realizando con el objetivo de  mejorar su actividad motora y su proyección psicosocial.

 Palabras clave: HEMORRAGIA INTRACRANEAL/Recién nacido a término.


 

 

ABSTRACT

Cerebrovascular haemorrhagic accidents in term infant constitute an important feature of mortality in neonatal stage. A case of a male normoweight term infant who was born from a dystocic delivery in pelvis presentation (late-head dystocia) with a severe asphyxia at birth was analyzed. The infant required resuscitation techniques and mechanical ventilation, noting the clinical manifestations of haemorrhagic vascular accident, which could be proved through imaging studies carried out. At the age of one month the patient was discharged from the hospital with no compromise of vital functions and multidisciplinary follow-up. At the age of 3 months he showed specific sequels of retardation in psychomotor development and neurosensory disorders. Rehabilitation is been carried out with the objective of improving motor activity and psychosocial projection.

Key words: INTRACRANIAL HAEMORRHAGE/term infant.


 

 

INTRODUCCIÓN

Todos los tipos de hemorragias intracraneales (HIC) descritas en el adulto se han observado en el recién nacido, sin embargo, los diversos tipos de HIC se producen con frecuencias diferentes y distintos grados de severidad. En el recién nacido se puede producir frecuentemente más de un tipo de hemorragia en  un mismo paciente.1- 2

La hemorragia cerebral es una entidad conocida y habitualmente identificada con el recién nacido pretérmino, especialmente en los menores de 34 semanas y menos de 1500 g, presentándose con una frecuencia que oscila entre el 20-40%.1 Estas cifras tan elevadas reflejan la susceptibilidad al sangrado del cerebro inmaduro pretérmino, debido a la debilidad de la matriz germinal origen de éste, sin embargo, en el recién nacido a término las cifras bajan al 1-2% con una fisiopatología claramente diferente, y se impone el parto traumático como mecanismo productor  más frecuente.3

La  hemorragia subdural (HSD) en el recién nacido a término se debe casi siempre a lesiones traumáticas. La mayoría de estas hemorragias son supratentoriales y bilaterales  por su localización, pero también  pueden producirse en la fosa posterior.1-3

Las hemorragias subdurales son más probables cuando existen desproporciones pélvicas, cuando el cráneo es muy moldeable, cuando la pelvis materna   es poco elástica, en partos muy rápidos o prolongados, en las presentaciones  anormales  y en los partos instrumentados, favoreciendo el excesivo  moldeamiento de la cabeza, que da lugar a estiramientos o desgarros de las venas intracerebrales. La HSD es la menos común de las formas principales de HIC neonatal, y se ha demostrado en el feto  antes de que los eventos del parto pudieran hacerlo responsable, así como en etapas más tardías (unos meses después del parto).4-7

En la hemorragia subdural la presentación clínica depende de la cantidad  y localización de la sangre. Cuando la HSD se produce en la fosa posterior es secundaria a un modelaje acentuado de la calota con desgarro de la hoz o de la tienda. Ésta puede  producirse tanto en recién pretérmino como en el a término. Como el espacio que rodea al tronco encefálico es limitado para acumular sangre antes de que comprometa la función, este tipo de hemorragia suele ser fatal en un lapso breve después del comienzo de la hemorragia. La Tomografía axial computarizada es un método rápido de diagnostico de este tipo de trastorno, y permite cuantificar la cantidad de sangre presente.8-10

La hemorragia subaracnoidea (HSA), tal vez la forma más frecuente de HIC neonatal, puede ser primaria o secundaria, en el primer caso es una forma común de hemorragia cerebral en el recién nacido, habitualmente suele ser trivial y muchas veces no es diagnosticada, o tiene como único dato un LCR xantocrómico, mientras que en la secundaria puede obedecer a una extensión de una hemorragia subdural, intraparenquimatosa e intraventricular.11-14

En la HSA el sangrado es de origen venoso y suele ser de magnitud limitada, y sólo en raras ocasiones es de importancia clínica. Se pueden producir grados importantes de HSA con la asfixia, particularmente en recién nacido pretérmino. La HSA clínicamente significativa, especialmente en recién nacido a término, puede ser producida por el traumatismo solamente, siendo debatido el papel de la hipoxia.4,15-17

En los recién nacidos a término o cerca del término con HIC, las complicaciones pueden ser el resultado precoz del curso natural de la lesión, por ejemplo un estado de shock casi inmediato, y la muerte ocasionada por el desgarro  de la hoz del cerebro. Otras complicaciones subagudas pueden ocurrir en el curso natural de la evolución del sangrado, o ser consecuencia de la intervención inoportuna o inapropiada que ocasionan daños que se suman a la lesión original.18

PRESENTACIÓN DE CASO

Se trata de un recién nacido a término y de buen peso, hijo de madre  de treinta años de edad, multípara, con antecedentes de salud anterior, grupo O, que llega en trabajo de parto, con dilatación completa, y sin signos de sufrimiento fetal (líquido amniótico claro y cardiotacografia normal), poco tiempo después se produce el parto en presentación pelviana con distocia de cabeza última que requiere de maniobras para su extracción, por Apgar 0-2 rápidamente se  procedió  a su  reanimación (entubación endotraqueal y ventilación con PPI). Se trasladó al  Servicio de Cuidados Especiales, al llegar al mismo en estado crítico se acopló  a equipo de ventilación y se procedió a  iniciar su estudio y tratamiento intensivo.

Datos positivos al examen físico:

Palidez cutánea mucosa

Aparato Respiratorio: Tórax insuflado, con aumento del diámetro antero-posterior, con ruidos respiratorios trasmitidos bilaterales

Aparato Cardiovascular: Ruidos cardíacos rítmicos y de buen tono pero desplazados hacia la derecha. FC 148/min. No soplo.

Pulsos periféricos presentes, débiles, llene capilar lento (> 4 seg.), cianosis distal y  livedo reticular

Abdomen: Suave, depresible, excavado, no visceromegalia

Sistema Neurológico: Alerta, postura en flexión,  hipertónico, manos en flexión palmar, pulgar oculto, no movimientos convulsivos, fontanelas amplias, con diastasis de suturas y circunferencia cefálica de 39 cm. Pupilas dilatadas. Reflejos tendinosos exaltados.

Piel: Lesiones equimóticas en el cuerpo, con hematoma en base de la lengua y esternocleidomastoideo derecho además de un gran  caput hemorrágico

Se reciben complementarios:
 Hb 150g/l                         

Grupo O

Glicemia 4mmol/l     

Coagulograma: Normal

Ionograma: Na 135mEq/L

                   K     4 mEq/l                

Gasometría arterial    Acidosis metabólica severa    

PH 7.26             SB 12.4 mEq/L                                                   

PCO2 20 Utorr  EB -17.4 mEq/L

PO2 80 Utorr    SO2 96%

Creatinina 60mmol/l

Rx de tórax: No lesión de partes óseas, ni blandas, área cardíaca normal. Opacidad hiliobasal derecha. Imagen de neumomediastino

El recién nacido desarrolló una acidosis metabólica severa secundaria a  trastorno en la perfusión, inducidos por la asfixia y el shock hipovolémico. Llamó la atención que presentó sangrado por la base de la lengua y las punturas, lo que hizo pensar que presentaba una coagulopatía de consumo en el curso de la asfixia, favorecido localmente por el gran caput hemorrágico que tenía, tomándose medidas al respecto (Infusión de plasma y glóbulos), además de mantener la restricción hidrosalina.

Al día siguiente se produjo un empeoramiento del estado clínico hemodinámico, con agravamiento del cuadro neurológico, presentando gran hipertonía de los miembros,  postura en flexión, y con pulgar oculto, llamando la atención el incremento de la circunferencia cefálica, con fontanelas amplias y tensas, apreciándose un gran hematoma que se distribuye por toda la región parietal derecha, mastoide y cuello, comenzó a presentar convulsiones, sus pupilas estaban mióticas pero reactivas.Teniendo en cuenta las circunstancias del nacimiento y lo anteriormente expuesto se consideró que podía existir una HIC. A los fallos orgánicos anteriores se le agregaron oliguria y bradicardia, expresiones de la repercusión de la asfixia sobre riñones y el corazón. Se le realizó ultrasonografía transfontanelar, apreciándose  ligera dilatación ventricular con sangre en el cuarto ventrículo y signos de edema cerebral.

Una vez que se logró cierta estabilidad de su estado general se realizó la punción lumbar, extrayendose líquido cefalorraquídeo francamente hemorrágico.

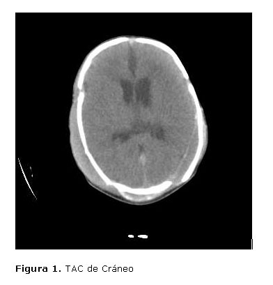
Su evolución posterior se caracterizó por un mejoramiento de su estado general, permitiendo comenzar la reducción de los parámetros ventilatorios y preparar las condiciones para el destete del mismo, lo cual se pudo realizar. Se le realizó TAC  de cráneo, donde se apreciaron signos de HSA a nivel de fosa posterior, con ligeros signos de hidrocefalia y sangre en el cuarto ventrículo,  hematoma subgaleal parietal bilateral, hematoma subdural izquierdo e  imagen hipodensa a nivel de la fosa posterior, con ligeros signos de edema periventricuar izquierdo pero sin efecto de masa( figura 1).

vvvv

Fue interconsultado con el especialista en  Neurocirugía, el cual consideró que al no existir efecto de masa, ni signos de compresión de tallo cerebral, no  existía criterio de conducta quirúrgica.

Este paciente egresó al mes de edad, siendo seguido por un equipo multidiciplinario que ha garantizado su atención clínica y rehabilitatoria.  A los tres meses de edad el paciente presentaba retraso en su desarrollo psico-motor, y alteraciones neurosensoriales dadas por un fondo de ojo con borramiento  total de la pupila del ojo izquierdo y unos potenciales visuales patológico por posible alteración de la conducción del nervio óptico.

DISCUSIÓN

Las hemorragias cerebrales se presentan ocasionalmente, pueden ser aisladamente un hecho infrecuente que se observa sobre todo en los recién nacidos a término, cuya expresividad clínica es muy variable, y sin factores de riesgos ostensibles. Al igual que otras hemorragias intracraneales en el periodo neonatal, los signos pueden producirse por pérdida sanguínea o por disfunción neurológica. Pueden presentarse como un síndrome rápidamente letal  o como síndrome menos agresivo.10-11,14,19

Existen tres fases clínicas descritas,1,20 que explicaremos a continuación:

a- 1era Fase: Se caracteriza por no presentar signos neurológicos  al nacimiento, hasta varias horas  ó días después (3 ó 4), en este tiempo se va formando el hematoma.

b- 2da Fase: Presencia de distintos signos  de aumento de la  presión intracraneal (fontanela abombada o tensa, irritabilidad, letargia). Muchos de estos signos pueden relacionarse con evolución hacia la hidrocefalia.

c- 3era Fase: Aparecen los signos de compresión del tronco  cerebral, que incluyen alteraciones respiratorias, anomalías óculo-motoras, desviación ocular  y parálisis facial, debida  a la compresión directa ejercida por el hematoma. Son  frecuentes  las  convulsiones ocasionadas por la presencia  de sangre en el espacio subaracnoideo, si el empeoramiento se mantiene se produce una compresión cerebral letal.

La presentación  clínica  en  el  recién nacido a término con HSA  aislada  puede  variar considerablemente. Por lo general no hay signos clínicos, y el niño está totalmente asintomático, y sólo se diagnostica la hemorragia por una punción lumbar. En ocasiones el niño esta inicialmente normal y luego desarrolla convulsiones durante el segundo o tercer día de vida como única manifestación clínica. Por el contrario una de las manifestaciones clínicas iniciales de la HSA puede ser la aparición temprana de depresión e irritabilidad alternantes con convulsiones refractarias.5,18-19

El diagnóstico de un accidente vascular hemorrágico  cerebral  requiere del reconocimiento clínico, de la interpretación correcta del LCR, con posterior demostración mediante la neuroimágen, donde la TAC es un método rápido de diagnostico que permite cuantificar la cantidad de sangre presente, mejorado por la Resonancia Magnética Nuclear en la exploración de la fosa  posterior, además  permite realizar un seguimiento  de los mismos, sin embargo, el USG está obstaculizado  por la interferencia acústica  del hueso en el caso de la hemorragia subdural.5,8,17,19

Se sabe que algunos recién nacidos con colecciones  subdurales en la fosa posterior  pueden mostrarse asintomáticos o letárgicos, estos pacientes deben ser  observados  y seguidos con cuidado. Cuando el  hematoma  produce compresión  del tronco encefálico  con signos oculares y de otros nervios craneales  que pueden ir seguidos de apnea y bradicardia, existe la posibilidad de realizar una trepanación o una craneotomía para  eliminar el coágulo.11,16,19

Las complicaciones tardías de los  sobrevivientes incluyen: retraso del desarrollo psico-motor, epilepsia, hidrocefalia  permanente  debido al bloqueo  del espacio subaracnoideo, daño de los nervios  craneales, si  se ha producido sangrado en el tronco encefálico.18

 Concluimos que el caso presentado sufrió  un evento asfíctico grave al nacimiento, por el tipo de parto (distocia de cabeza última en presentación pelviana), requiriendo de maniobras y esfuerzos  para su extracción, los cuales ocasionaron un   moldeamiento excesivo de la cabeza  y laceración tentorial, produciendo hemorragia en el espacio subdural con extensión al subaracnoideo. Fueron la asfixia como la hemorragia las  responsables de las manifestaciones  clínicas, así  como de las secuelas que actualmente presenta.  

 

 

REFERENCIAS BIBLIOGRÁFICAS

1. Campos CJ. Santos MT, Jiménez AR, Carreaga MJ. Hemorragias Cerebrales en el RNT. Rev Neurol,1999;29(3):239-246.

2. López KJ, Aldrey JM, Padillas H, Castillo J. Morbilidad de la hemorragia Intracerebral. Rev Neurol;1998; 27: 755-58.

3. Gradnitzer E, Urlesberger B, Maurer U, Riccabona M, Muller W.  Cerebral hemorrhage in term newborn infants-an analysis of 10 years (1989- 1999) .Wien MedWochenschr;2002;152(1-2):9-13.

4. Cardo EM, Pineda M, Vilascea A, Artuch R, Campistol J. Factores de riesgo en la  enfermedad cerebrovascular en la infancia. Rev Neurol;2000;30(1):21-27.

5. Delgado Hemorragias Intracerebrales. En Castillo J, Álvarez SJ, Marti JL, Martínez VE, Matías GJ, edc. Manual de Enfermedades Vasculares Cerebrales. 2ed. Barcelona. 1999:229-39.

6. Hannigan  W.C, Ali M. B, Cusack T.J,et al .Diagnosis of subdural hemorrhage in utero. Case  report.J Neurology;1985;63:677-9.

7. Potmensel S, Grannum P.A, Nones J.A, et al. In utero diagnosis and managements  of fetal subdural hematoma.Am J Obstetrics Gynecology. 1991; 164: 1246-8.

8. Karl CK. Hemorragia intracraneal: En : Cloherty JP, Stark AR. Manual de cuidados Neonatales 3ra ed. Barcelona: Masson; 1999. Pp. 569-575.

9. Suh DC, Alvarez H, Bhattacharya JJ, Rodesch G, Lasjaunias PL. Intracranial haemorrhage within the first two  years of life. Acta Neurochir (Wien). 2001; 143(10): 997-1004.

10. Mandeville M, Sams R 2nd, Denison G. Index of suspicion. Case 1. Diagnosis: intracranial haemorrhage. Pediatr Rev. 2001;22(5):169-73.

11. Coconier G, Gustavo V, Regina V, Nestor A; Picco,P. Hemorragia de fosa posterior en el recién nacido a término: una emergencia neuroquirúrgica. Obstet. Ginecol?1997,57(2):73-82,

12. Inagawa T. Trends in incidence and case fatality rates of aneurysmal subarachnoid haemorrhage in Izumo City, Japan, between 1980-1989 and   1990-1998 .  Stroke. 2001 ;32(7):1499-507.

13. Osawa H, Fukui K, Otsuka G, Hattori K, Satake T, Miyazaki M. De novo cerebral aneurysms manifesting as repeated subarachnoid hemorrhage and cerebral ischemic stroke-case report. Neurol Med Chir(Tokyo).2002;42(9):391-5.

14. Kuban KK. Intracraneal Haemorrhage. In Cloherty JP, Stark AR, eds. Manual of Neonatal Care. 4ed. Phildelphia, New York: Lippinet Raven; 1997.p. 505-15.

15. Gulati, S, Karla V.Stroke in Children. Indian Pediatr? 2003 ; 70(8):639-48.

16. Chute DJ, Smialek JE. Pseudo-subarachnoid haemorrhage of the head diagnosed by computerized axial tomography: a post-mortem study of ten medical examiner cases. J Forensic Sci.2002;47(2):360-5.

17. Karibe H, Shimizu H, Tominaga T, Koshu K, Yashimoto T. Diffusion weighted Magnetic Resonance Image in the early evaluation of corticospinal tract injury to predict haemorrhage. J Neurol Surg; 2000; 92:58- 63.

18. Koenigsberger MR. Complicaciones en la hemorragia intracraneal en el RNAT. Rev Neurol;1999;29(3):247-249.

19. Volpe JJ.Intracraneal Haemorrhage. Subdural, Primary Subarachnoid, Intracerebellar, Intraventricular (term infants).En: Neurology of the Newborn, 3ed. Phydalelphia;WB Saunders Co.1995.

20. Maxeiner H. A postmortem view on "pure" subdural haemorrhages in infants and toddlers . Klin Pediatr. 2002 ;214(1):30-6.

 

 

Recibido: 14 de enero de 2006 
Aprobado: 30 de agosto de 2006 

 

 

Dr. Omar León Vara Cuesta. Especialista de Primer grado en Neonatología. Hospital Gineco-Obstétrico "Justo Legón Padilla". Pinar del Río. Dirección particular: Km. 121/2 Carretera San Juan. La Fragata. El Cafetal. Pinar del Río. Cuba