PRESENTACIÓN DE CASO

 

Degeneración marginal de Terrien. Presentación de 2 casos

Terrien’s marginal degeneration. A two case report

 

Eduardo Rojas Álvarez1, Janet González Sotero2, Ariadna Pérez Ruiz3

1Especialista de Primer Grado en Oftalmología y en Medicina General Integral. Asistente. Hospital General Docente "Abel Santamaría Cuadrado". Pinar del Río. Correo electrónico: dr_erojas@princesa.pri.sld.cu
2Especialista de Primer Grado en Oftalmología y en Medicina General Integral. Asistente. Hospital General Docente "Abel Santamaría Cuadrado". Pinar del Río.
3Residente en Medicina General Integral. Hospital General Docente "Abel Santamaría Cuadrado".
Pinar del Río.

 

 


RESUMEN

Se presentan 2 casos de degeneración marginal de Terrien, en sus formas clínicas: "surco marginal" y "opacidad marginal similar a un gerontoxon con vascularización periférica". Se expone el estudio topográfico realizado e imágenes de biomicroscopía anterior de la córnea.

DeCS: CÓRNEA/lesiones, ASTIGMATISMO/complicaciones.


ABSTRACT

Two cases of Terrien’s marginal degeneration, in its clinical forms: “marginal groove” and “similar marginal opacity to a gerontoxon with peripheral vascularization”. Topographic study and anterior biomicroscopic images of the cornea were carried out.

DeCS: CORNEA/injuries, ASTIGMATISM/complications.


 

INTRODUCCIÓN

Las degeneraciones corneales constituyen motivo de consulta en oftalmología, comprenden una variada serie, que en su conjunto, quedan al margen de los tipos etiopatológicos clásicos como las inflamaciones, infecciones, traumatismos o neoplasias, si bien las degeneraciones pueden ser consecuencia de los procesos previos pertenecientes a dichos grupos.

En su mayoría se encuentran cambios en la transparencia de la córnea, provocados por la formación de depósitos de materiales anómalos, en algunos casos son la curvatura y espesor corneal los más afectados como en las ectasias corneales. Su incidencia en general es baja y la repercusión es muy variable, desde pasar completamente desapercibidas o ser simples curiosidades, hasta provocar la pérdida de visión severa y constituir una indicación para trasplante de córnea.

Caso clínico 1

Motivo de consulta: Ardor en ojo derecho.

Historia de la enfermedad actual: Paciente femenina de 54 años de edad que acude a la consulta de oftalmología refiriendo ardor, sensación de cuerpo extraño, ojo rojo, lagrimeo desde hace aproximadamente 2 meses en el ojo derecho. La intensidad de los síntomas aumenta en el último mes.

Antecedentes patológicos personales:
Sistémicos: No.
Oculares: No.

Datos positivos al examen oftalmológico:
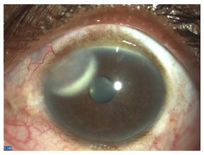
Ojo derecho: Adelgazamiento corneal periférico, desde h-11 a h-3, avascular, con línea central más profunda y córnea transparente entre limbo esclero-corneal y lesión. (
Figura 1 y figura 2 )

Figura 1 .Biomicroscopía anterior a iluminación difusa de la córnea.

Figura 2. Biomicroscopía anterior a iluminación focal en hendidura de la córnea.

Agudeza visual sin corrección: 0.6
Refracción: OD: -1.00-4.50x 30° 0.8
OI: -1.00-1.00x 150° 1.0 Add: +2.50

En la topografía corneal existe ausencia de patrón en localización del adelgazamiento corneal e inducción de cilindro de 4,96 dioptrías, con curvaturas corneales desde 47,90 hasta 49,23 dioptrías queratométricas. (Figura 3 )

Figura 3. Topografía corneal (Magellan).

Caso clínico 2

Motivo de consulta: sensación de cuerpo extraño en ojo derecho.

Historia de la enfermedad actual: paciente femenina de 64 años de edad, que acude a la consulta de oftalmología refiriendo dolor, sensación de cuerpo extraño, ojo rojo y lagrimeo desde hace aproximadamente 4 meses en el ojo derecho; aumentando la intensidad de los síntomas en el último mes.

Antecedentes patológicos personales:

Sistémicos: Hipertensión arterial
Oculares: No
Datos positivos al examen oftalmológico:

Ojo derecho: Adelgazamiento corneal periférico, que avanza desde limbo esclero-corneal, en h-10, con finos vasos superficiales, en forma de semicírculo. (Figura 4 y figura 5 )

Figura 4. Caso 2. Biomicroscopía anterior a iluminación difusa de la córnea.

Figura 5. Caso 2. Biomicroscopía anterior a iluminación focal en hendidura de la córnea.

Agudeza visual sin corrección: 0.4

Refracción: OD: 0.50-5.00x160° 0.6

OI: 0.50-1.50x20° 0.8 Add: + 3.50

DISCUSIÓN

Para diferenciar las distrofias de las degeneraciones se recurrió a un conjunto de calificativos como alteración primaria y espontánea, casi siempre bilateral y simétrica, de predominio central, de inicio precoz en la vida y de progresión en general lenta. Estos rasgos descriptivos implican una naturaleza no inflamatoria y remiten a una idea clave de defecto o fallo genético, con expresión fenotípica localizada en la córnea.1-3

La presencia de antecedentes familiares, indicando un origen hereditario, constituye la diferencia más concluyente entre distrofias y aquellos cambios que se agrupan bajo el término degeneraciones corneales.1, 2

Estas tienden, por el contrario, a ser más periféricas o excéntricas, a menudo unilaterales o presentar mayor asimetría en el caso de las bilaterales. Su origen es tardío, o al menos, no suele ser precoz; su progresión es más evidente. A menudo son secundarias a otras patologías locales o sistémicas, con frecuencias inflamatorias y acompañadas de vascularización corneal, o bien a cambios del envejecimiento o por agresiones ambientales.4, 5

Teniendo en cuenta estas características generales se presentan ante 2 casos de degeneraciones corneales. En este caso deben diferenciarse específicamente la degeneración marginal de Terrien, la degeneración marginal en surco idiopática o senil, así como la úlcera de Mooren y otras patologías autoinmunes periféricas.

La degeneración marginal de Terrien ha quedado definida desde numerosas descripciones clásicas, además de poseer las características generales de las degeneraciones, predomina en el sexo masculino (3:1), aunque se han descrito series donde el sexo predominante es el femenino.3, 4

En el primer caso, se trata de esta degeneración en su forma de presentación "surco marginal", que se forma por adelgazamiento de la córnea periférica a expensas de las capas superficiales, con una concavidad del borde central más abrupto que en periferia. Se sitúa entre el limbo y la banda de opacidad, con una anchura típica de 1-2 mm.

A medida que se adelgaza el tejido se hace más transparente y la opacidad queda reducida a una línea festoneada en el borde central del surco o puede fragmentarse en una serie de manchas. Los vasos, radiales y paralelos, pero con anastomosis, no sobrepasan esta línea. En todo momento se mantiene la integridad del epitelio corneal. Inicialmente localizado y generalmente superior, el surco puede progresar en forma de anillo 360° en la córnea.5, 6

En el caso 2 la degeneración marginal de Terrien se presenta como "opacidad marginal similar a un gerontoxon con vascularización periférica". Típicamente se presenta en el sector superior, pero puede ser anular desde el principio o evolucionar. Está formado por un fino punteado gris amarillento que afecta todo el espesor corneal en un espesor de 1-3 mm y suele estar separada del limbo por una estrecha zona transparente. La vascularización es superficial y procede de las arcadas lumbares. Cuando aparece este patrón en los pacientes de edad avanzada con adelgazamiento escaso puede tratarse de una degeneración marginal en surco idiopática o senil.3, 4

La mitad de los pacientes son asintomáticos hasta que el astigmatismo causa déficit visual. En los demás existen episodios de fotofobia, irritación y lagrimeo, e incluso dolor ocular. La presión intraocular es normal, pero se han hallado valores límites. Raramente la membrana de Descemet puede rasgarse o perforarse provocando un hidrops. Debido al adelgazamiento extremo, más que edema la córnea se desdobla en 2 láminas o un bolsillo o quiste intracorneal.

La úlcera de Mooren es la entidad más importante a descartar en el diagnóstico diferencial. Además de sus características generales existen elementos que permiten diferenciarla de la degeneración marginal de Terrien: la lesión no respeta el limbo esclerocorneal, el surco tiene un borde central "en voladizo", la progresión es más rápida con avance centrípeto y circunferencial, el epitelio se encuentra ulcerado, la vascularización es rara (aparece en etapa cicatrizal) y se encuentran ausentes los depósitos de lípidos.1, 6

En el estudio topográfico se observa un aplanamiento central y patrón en alas de mariposa o "sonrisa invertida", aumentando la curvatura en el eje ortogonal.

El tratamiento debe tener en cuenta la vascularización, la progresión circunferencial del cuadro y la posibilidad de perforación corneal. Esto hace recomendable el uso de antiinflamatorios tópicos, hipotensores oculares y la posibilidad de queratoplastia. El trasplante de córnea, ya sea laminar o penetrante ha tenido buenos resultados, incluso, en algunos casos, óptimos resultados refractivos. El riesgo de rechazo es mayor en estos casos, comparado con la degeneración marginal pelúcida, se prefiere realizarlo en forma de herradura o creciente y no semicircular.7, 8

La queratoplastia lamelar conlleva un riesgo de perforación corneal en la etapa de disección del colgajo, las queratoplastias penetrantes ofrecen mayor seguridad en este sentido, sin embargo, es mayor la posibilidad de rechazo y la hipertensión ocular secundaria.6-8

El diagnóstico y manejo óptimo de las degeneraciones corneales resulta de vital importancia en las consultas de oftalmología en vistas a elevar la calidad de vida de los pacientes. En los casos presentados los pacientes se encuentran bajo tratamiento y seguimiento por consulta de córnea, con 6 meses de seguimiento, no ha sido necesario el tratamiento quirúrgico.

 

REFERENCIAS BIBLIOGRÁFICAS

1. Romanchuk KG, Hamilton WK, Braig RF. Terrien´s marginal degeneration with corneal cyst. Córnea. 1990; 9(1):86-7.

2. Guyer DR, et al. Terrien marginal degeneration: clinicopathologic case reports. Graefes Arch Clin Exp Ophthalmol.1987; 225(1):19-27.

3. López JS, et al. Inmunohistochemistry of Terrien´s and Mooren´s corneal degeneration. Arch Ophthalmol.1991;109(7):988.

4. Brown AC, Rao GN, Aquavella JV. Peripheral corneal grafts in Terrien´s marginal degeneration. Ophthalmic Surg.1983;14(11).

5. Caldwell DR, et al. Primary surgical repair of several peripheral marginal extasias in Terrien´s marginal degeneration. Am J Ophthalmol. 97:332, 2008.

6. Hahan TW, Kim JH. Two-step annular tectonic lamellar keratoplasty in severe Terrien´s marginal degeneration. Ophth Surg.1993; 24(12).

7. Pettit TH. Corneoescleral freehand lamellar keratoplasty in Terrien´s marginal degeneration of the cornea: lon terms results. Refract Corneal Surg 1991; 7:28.

8. Nagy M, Vigvary L. Beitrage zur atiologie der degeneration marginalis pellucida corneae. Klin Monatsbl Augenheilkd 1972; 161:604.

 

Recibido:11 de febrero del 2011.
Aprobado:21 de julio del 2011.

 

Dr. Eduardo Rojas Álvarez. Especialista de Primer Grado en Oftalmología y en Medicina General Integral. Asistente. Hospital General Docente "Abel Santamaría Cuadrado". Pinar del Río. Correo electrónico: dr_erojas@princesa.pri.sld.cu